Be careful!! This is what your teeth will become when you eat…

Have you ever noticed that your teeth seem a little off? Perhaps they are discolored, sensitive, or more prone to cavities than usual? If you’ve noticed these signs, you might be unknowingly experiencing a rare dental condition known as Amelogenesis Imperfecta (AI).

While it’s common to experience some dental issues from time to time, Amelogenesis Imperfecta is a genetic enamel disorder that can significantly affect the structure and appearance of your teeth. It’s not just your average dental problem—it’s a condition that impacts the very protective coating of your teeth, known as enamel, and can result in a variety of complications.

In this article, we’ll take a closer look at Amelogenesis Imperfecta, its symptoms, causes, and treatment options, so you can better understand what may be happening with your teeth and how to address it.

What Is Amelogenesis Imperfecta?

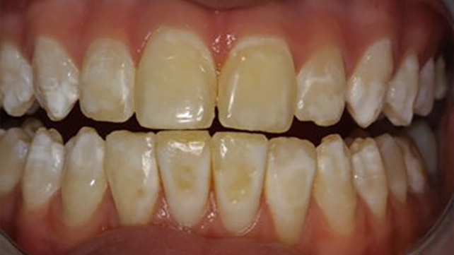
Amelogenesis Imperfecta (AI) is a rare genetic disorder that affects the development of enamel—the outer protective layer of your teeth. In individuals with AI, the enamel forms incorrectly, which can lead to teeth that are either very thin, discolored, or in some cases, missing altogether. This condition can affect both primary (baby) teeth and permanent (adult) teeth, with varying degrees of severity.

AI can result in a wide range of dental issues, such as:

  • Discoloration: Teeth may appear yellow, brown, or even gray, which is a result of the enamel’s abnormal formation.
  • Tooth Sensitivity: Due to the thin or damaged enamel, teeth may be more sensitive to hot, cold, or sweet stimuli.
  • Increased Risk of Cavities: With compromised enamel, teeth are more vulnerable to decay and cavities.
  • Tooth Structure: Teeth may be poorly shaped, leading to cosmetic concerns and potential functional issues.

The condition is inherited, meaning it is passed down through family genes. It affects both males and females, although some types of AI can present differently depending on gender and genetic variations.

Symptoms of Amelogenesis Imperfecta

Amelogenesis Imperfecta manifests in various forms, but common symptoms include:

1. Discoloration

Teeth affected by AI are often not the bright, white shade that most people are used to. Instead, they can appear:

  • Yellow
  • Brown
  • Grayish This is because the enamel, which is responsible for the whiteness of teeth, is either too thin or defective, allowing the underlying dentin (the part of the tooth beneath the enamel) to show through.

2. Tooth Sensitivity

When enamel is defective or underdeveloped, the tooth is more susceptible to temperature and pressure changes. This can make everyday activities such as eating or drinking hot or cold beverages uncomfortable or painful.

3. Chipping and Wear

The weakened enamel can cause teeth to chip, crack, or wear down more easily. This can also lead to problems with bite alignment and functionality.

4. Increased Risk of Cavities

Because the protective enamel is compromised, teeth affected by AI are more prone to developing cavities. This happens because the enamel is not able to act as a barrier against bacteria and acids that cause decay.

Causes of Amelogenesis Imperfecta

Amelogenesis Imperfecta is a genetic disorder that occurs due to mutations in the genes responsible for the development of enamel. These genes help produce proteins that are essential for enamel formation, and mutations can lead to defective or insufficient enamel.

There are several different types of AI, categorized based on the specific gene mutations and the severity of the condition. These include:

  • Hypoplastic AI: Enamel is not properly formed, leading to a very thin or absent enamel layer.
  • Hypomaturation AI: Enamel is present but is of poor quality and prone to discoloration or cracking.
  • Hypocalcified AI: Enamel is present but lacks mineralization, making it soft and more likely to wear away.
  • Combination Forms: In some cases, individuals may experience a combination of these traits.

These genetic mutations can be inherited in an autosomal dominant or autosomal recessive manner, meaning that the condition can either be passed down from just one parent or both parents, respectively.

Diagnosis and Treatment of Amelogenesis Imperfecta

If you suspect you or your child may have Amelogenesis Imperfecta, the first step is to visit a dentist or a geneticist. The diagnostic process usually involves a thorough dental examination, X-rays, and possibly genetic testing to confirm the diagnosis and determine the type of AI.

Treatment Options for AI

While there is no cure for Amelogenesis Imperfecta, there are various treatment options available to manage the symptoms and improve the function and appearance of affected teeth. Treatment will depend on the type and severity of the condition and may include:

  • Restorative Dental Work:
    • Fillings: For cavities caused by the weakened enamel.
    • Crowns: To protect and strengthen teeth that are severely damaged.
    • Veneers: To improve the appearance of discolored teeth and provide a protective layer.
  • Fluoride Treatments: Fluoride can help to remineralize enamel and reduce sensitivity. It may be applied through fluoride gels, varnishes, or mouth rinses.
  • Orthodontic Treatment: In cases where tooth alignment is affected by AI, braces or other orthodontic appliances may be recommended.
  • Regular Dental Checkups: Due to the increased risk of cavities, frequent dental checkups are essential for early detection and management of dental issues related to AI.
  • Preventive Care: AI patients are advised to avoid acidic or sugary foods and maintain a good oral hygiene routine to help minimize enamel wear and the development of cavities.

Coping with the Emotional Impact

Living with Amelogenesis Imperfecta can have both physical and emotional effects. For many people, the condition can cause self-consciousness or embarrassment, particularly due to the appearance of discolored or damaged teeth. Fortunately, modern dentistry offers a wide range of solutions to help individuals manage the cosmetic concerns associated with AI.

Conclusion: Understanding Amelogenesis Imperfecta

Amelogenesis Imperfecta is a rare genetic condition that affects the enamel of teeth, leading to a variety of dental issues, including discoloration, sensitivity, and an increased risk of cavities. Although there is no cure, modern dental treatments can help individuals with AI manage their symptoms and improve the function and appearance of their teeth.

If you suspect you or someone you know might have Amelogenesis Imperfecta, it’s essential to seek advice from a dentist or a genetic counselor. Early diagnosis and appropriate treatment can help individuals with AI lead healthy, confident lives while minimizing the impact of the condition on their daily lives.