
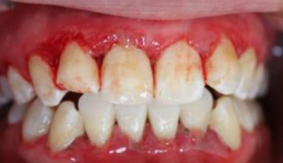
That faint pink tinge in the sink after you brush your teeth is easy to explain away. “I was just brushing too hard,” you tell yourself. Or, “My gums have always been a little sensitive.” It’s a common, often ignored occurrence that many of us have accepted as normal. But your body has a limited vocabulary for sending distress signals, and bleeding is one of its most fundamental. When your gums bleed from the gentle friction of a toothbrush, it’s not a sign of aggression; it’s a sign of weakness. It’s your body’s way of saying the frontline defense in your mouth is compromised.
While poor oral hygiene is a leading cause of gingivitis (gum inflammation), the story doesn’t always end with flossing more. Sometimes, the problem isn’t what’s on your teeth, but what’s missing from your blood. Bleeding gums during tooth brushing can be a clear indicator that your blood is lacking crucial vitamins and clotting factors, most notably Vitamin C and Vitamin K.
Let’s pull back the curtain on this seemingly small symptom.
The Scourge of the Sailors: The Vitamin C Connection
You might associate Vitamin C deficiency—scurvy—with 18th-century sailors on long voyages. But subclinical deficiencies are more common than we think, especially in older adults, those on restrictive diets, or people with conditions that affect nutrient absorption.
- What’s Happening:Vitamin C is absolutely essential for producing collagen, the structural protein that acts as the scaffolding for your gums, holding them tight against your teeth. When Vitamin C is lacking, this collagen breaks down. The gum tissue becomes soft, spongy, and fragile. The tiny blood vessels (capillaries) within them become brittle. The simple mechanical force of brushing, which healthy tissue can easily withstand, causes these weakened vessels to rupture and bleed.
- The Bigger Picture:Your gums are a visible barometer for the health of the connective tissue throughout your body. If they are weak from a lack of Vitamin C, it’s likely other connective tissues are suffering, too, leading to slower wound healing, joint pain, and easy bruising on other parts of your body.
The Clotting Conductor: The Vitamin K Factor
If Vitamin C is about building strong gum walls, Vitamin K is about having a rapid-response team ready for a breach. Vitamin K is a critical co-factor your liver needs to produce proteins responsible for blood clotting (coagulation).
- What’s Happening:When you have a minor cut or tear—including the micro-tears caused by brushing inflamed gums—a complex cascade of events forms a clot to plug the leak. Without adequate Vitamin K, this process is sluggish and inefficient. The bleeding from your gums will be more pronounced and take longer to stop because the necessary clotting factors are in short supply.
- The Bigger Picture:A Vitamin K deficiency can be caused by liver conditions, long-term use of antibiotics, or the use of blood thinners like warfarin (Coumadin). It’s a sign that your body’s ability to perform basic repair is impaired.
Beyond the Bleeding: A Domino Effect of Deficiency
When your gums are chronically inflamed and bleeding, you create an open wound in your mouth 24/7. This isn’t just a local problem. It allows oral bacteria to enter your bloodstream, a condition known as bacteremia. For individuals with compromised health, this constant trickle of bacteria is linked to a heightened risk of:
- Cardiovascular disease and endocarditis (inflammation of the heart’s lining)
- Worsening control of blood sugar in diabetics
- Respiratory infections
What to Do When You See the Pink
- Don’t Stop Brushing:It may seem counterintuitive, but gentle, proper brushing and flossing is more important than ever to remove the plaque that’s exacerbating the inflammation.
- See Your Dentist:Rule out advanced periodontal disease. A professional cleaning can remove tartar that brushing can’t.
- See Your Doctor:If your dentist gives you an all-clear, it’s time for a blood test. Discuss the possibility of a nutritional deficiency with your physician. A simple test can check your levels of Vitamin C, Vitamin K, and other key players like iron.
- Nourish Your Gums from Within:Incorporate foods rich in these crucial nutrients.
- For Vitamin C:Citrus fruits, strawberries, bell peppers, broccoli, and tomatoes.
- For Vitamin K:Leafy green vegetables like spinach, kale, and broccoli.
- For
Bleeding gums are more than a dental nuisance; they are a nutritional billboard. That pink in the sink is a request for reinforcement. By answering that call—not just with a new toothbrush, but with a critical look at your diet and overall health—you’re not just healing your gums. You’re fortifying your body’s foundational defenses, ensuring that the gateway to your overall health is strong, resilient, and no longer sending distress signals.